L’implantologia comprende l’insieme di tecniche chirurgiche che hanno lo scopo di riabilitare funzionalmente un paziente con edentulismo totale ( mancanza di tutti i denti)o parziale, mediante l’utilizzo di impianti dentali,che possono essere di diverse forme, inseriti in diverse sedi con tecniche differenti e poi connessi alle protesi con diverse tempistiche.
Gli impianti sono in titanio. L’implantologia endossea è al momento la più diffusa, ed utilizza impianti (corpo implantare propriamente detto) di forma cilindrica/conica più o meno filettati all’esterno e con connessione interna a varia conformazione per la parte emergente (moncone) e più raramente cilindri o coni privi di filettatura esterna ma con analoghi sistemi di connessione interna per il moncone.In base al protocollo chirurgico esiste quindi implantologia sommersa e non (transmucosa); in base alla tempistica di utilizzo ci può essere carico immediato, anticipato, differito. Sono anche a disposizione i mini-impianti e il carico protesico immediato per situazioni ossee e endorali particolari.
Si deve alla scuola svedese la metodica di “osteointegrazione”, sviluppata per primo da Per-Ingvar Brånemark, basata sul carico differito e tesa a rendere più controllabile il successo dell’intervento implantologico: prevede l’utilizzo di impianti endossei ed a connessione protesica, con carico differito, ovvero attesa 3-4 mesi nella mandibola e 5-6 nel mascellare superiore. Il protocollo originale di Brånemark è stato variamente modificato così come gli impianti utilizzati, per accorciare i tempi di quiescenza degli impianti ed in definitiva dei tempi generali del trattamento. La scuola svedese ha prodotto importantissime innovazioni sia nella tecnologia di produzione e sia nelle tecniche chirurgiche: adozione dei trattamenti di superficie per i corpi implantari, tecniche di rigenerazione tissutale sia ossea sia mucosa.
Il materiale più utilizzato per la produzione di impianti è il titanio, in forma commercialmente pura o nelle sue leghe ad uso dentale, materiale biocompatibile che non comporta reazioni da parte dell’organismo. Gli impianti, posizionati nell’osso del paziente, verranno integrati dai fisiologici meccanismi della rigenerazione ossea, avverrà quindi la osteointegrazione tra impianto e strutture ossee.
Il sorriso è espressione di vita, di personalità e specchio dei sentimenti. È il mezzo più semplice di comunicazione immediata e un modo di rimanere in rapporto con il mondo e con l’ambiente.
La perdita in parte o totale dei denti naturali viene spesso trattata con protesi mobili o limando i denti sani vicini costruendo delle capsule. La utilizzazione di protesi mobili, o parzialmente mobili, può provocare traumi psicologici e non solo estetici, con conseguenze sulla masticazione, la parola, la digestione, la respirazione. Gli effetti si ripercuotono sulla salute, sull’equilibrio psicologico e anche sulla vita di relazione. La perdita degli elementi dentari determina anche un invecchiamento precoce, un riassorbimento dell’osso dei mascellari , il consumo dei denti sani limati per mettere i denti mancanti e anche dolore per la instabilità delle protesi mobili in particolare.Tutto il volto viene ad essere compromesso, con anche cambiamento della fisionomia,dell’ estetica e della personalità.
Il problema della sostituzione dei denti mancanti nel cavo orale è sempre stato importante . Solo recenti scoperte nell’ultimo trentennio, nel campo della odontoiatria, hanno portato a soluzioni affidabili e certe. È oramai stabilito che impianti biocompatibili in titanio puro, messi in sede con tecniche chirurgiche d’avanguardia, si integrano all’osso in modo stabile e duraturo.Questo processo si chiama osteointegrazione.
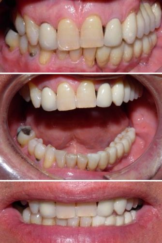
Dopo aver posizionato gli impianti (in anestesia locale dal dentista-implantologo o chirurgo maxillo facciale) e trascorsi alcuni mesi, la nuova protesi viene fissata agli impianti in modo definitivo. Oggi l’implantologia è affermata e diffusa e sostituisce il concetto del “vecchio ponte”. Gli impianti consentono di ridare l’estetica della dentatura naturale, oltre a dare un comfort e una funzione ideale.
A differenza di quando si ricostruisce un dente singolo limando i due denti vicini, questi non saranno sacrificati e sarà l’impianto a sostenere il dente mancante, e non i denti vicini che rimangono quindi integri. Questo vale anche per sostituire più denti mancanti. In caso poi di mancanza di tutti i denti, si può procedere con 5-6 impianti che portano denti singoli, oppure con una protesi totale, non mobile ma fissata a due o più impianti in titanio. Quindi la dentiera è destinata a scomparire, lasciando il posto a soluzioni più moderne, soprattutto fisse, o rimovibili solo dallo specialista durante i vari controlli e quando necessario.
Specialista in Odontoiatria, Protesi Dentale e Implantologia:
Prof. Paolo Rossi Chauvenet, Padova








